Biology 625
ANIMAL PARASITOLOGY
Supplemental visual material


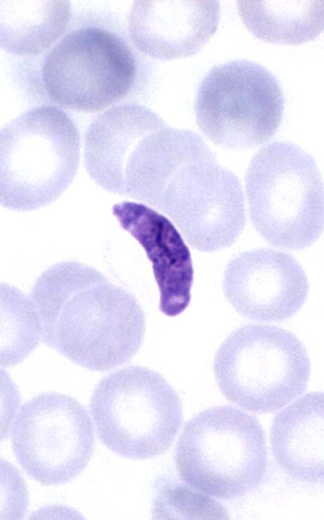
Plasmodium falciparum (Apicomplexa)
(Malignant tertian malaria)

ring stages
microgametocyte

macrogametocytes

Home

Originals; photographs by S.J. Upton


Home | Search | What's New | Help | Comments
Kansas State University | Biology Division