Biology 625
ANIMAL PARASITOLOGY
Supplemental visual material


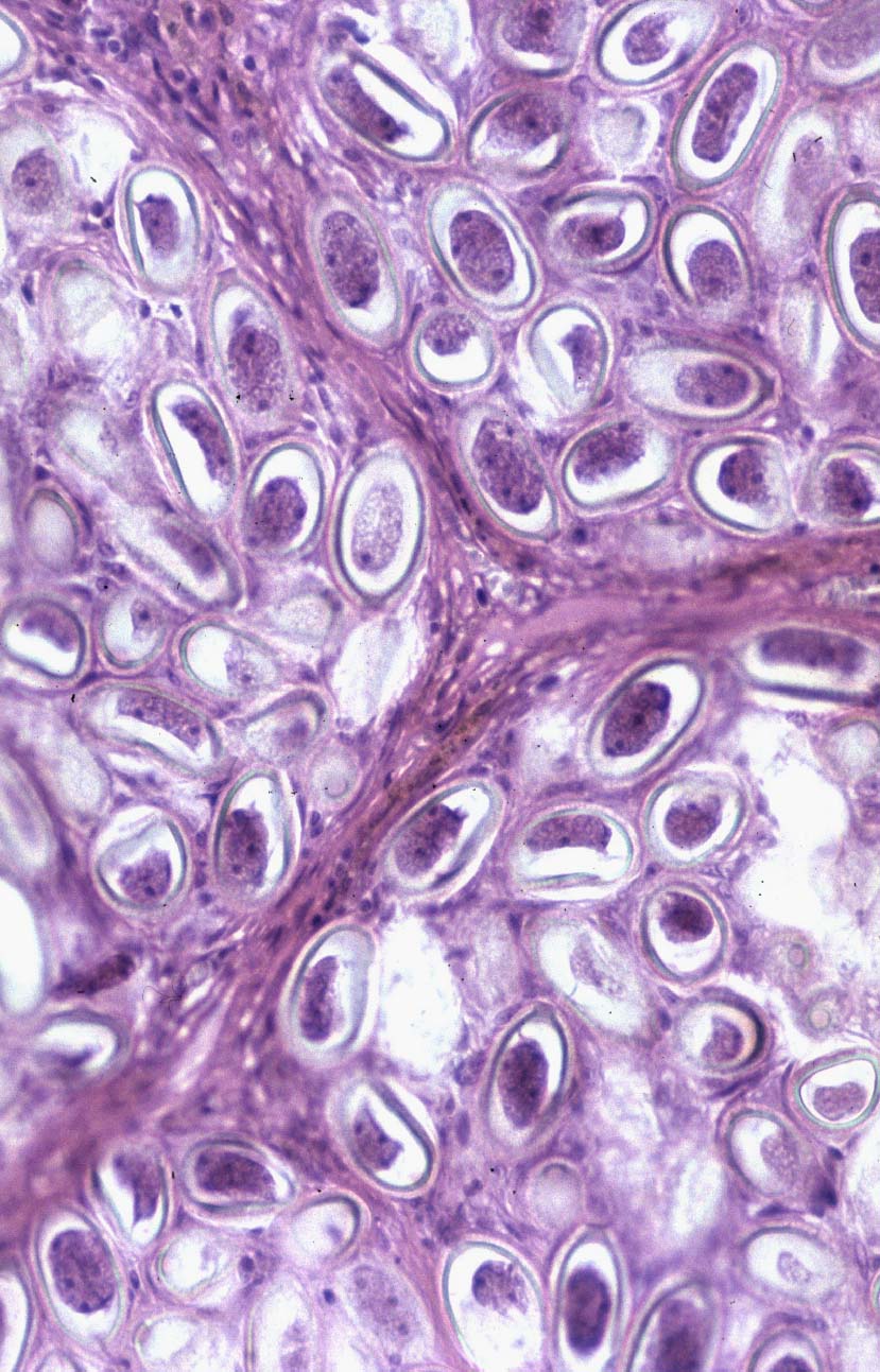
Calodium hepaticum (syn. Capillaria hepatica)
(Nematoda, Trichurida, Capillariidae)
Histological sections of eggs in rat liver

Calodium hepaticum, or more traditionally Capillaria hepatica, is a cosmopolitan nematode infecting some rodents and other mammals. Eggs are deposited in the liver and, once released into the environment by predation or decomposition, embryonate in the soil. An interesting study by Childs et al. (1988, Can. J. Zool. 66: 2769-2775) found 87.4% of Norway rats in Baltimore, Maryland to be infected! A number of human cases have been reported, and though rarely pathogenic the nematode may occasionally cause liver damage or death. Indeed rats may be considered the primary reservoir of the parasite.

Home

Originals; photographs by S.J. Upton


Home | Search | What's New | Help | Comments
Kansas State University | Biology Division