Biology 625
ANIMAL PARASITOLOGY
Supplemental visual material


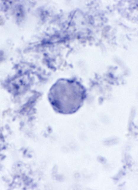
Blastocystis hominis

Blastocystis hominis is an anaerobic intestinal protozoan originally allied with the amoebae and more recently with the alveolates (Apicomplexa, dinoflagellates, and Ciliophora). Numerous morphologically similar forms exist in different animals and the number of true species is not yet known. At least three distinct morphological types can be found in feces, including the common vacuolar stage (above) which divides, an amoeboid stage which may be invasive and is capable of budding, and a granular or cystic form which is thought to give rise to numerous new organisms when conditions become unfavorable. Heavy infections are linked to diarrhea and intestinal discomfort, but whether the parasite is a causative agent of intestinal distress or responds favorably to an opportunistic situation is still unclear. Certainly the detection of high numbers in fecal smears is an indicator that something is amiss. The parasite seems to be susceptible to numerous drugs, including trimethoprim/sulfamethoxazole, metronidazole, and pentamidine.

Home

Originals; photographs by S.J. Upton


Home | Search | What's New | Help | Comments
Kansas State University | Biology Division