Biology 625
ANIMAL PARASITOLOGY
Supplemental visual material
|
|
|
|
Nomarski interference contrast photomicrograph of oocysts from calf feces. Each oocyst measures about 7.4 x 5.5 micrometers. |
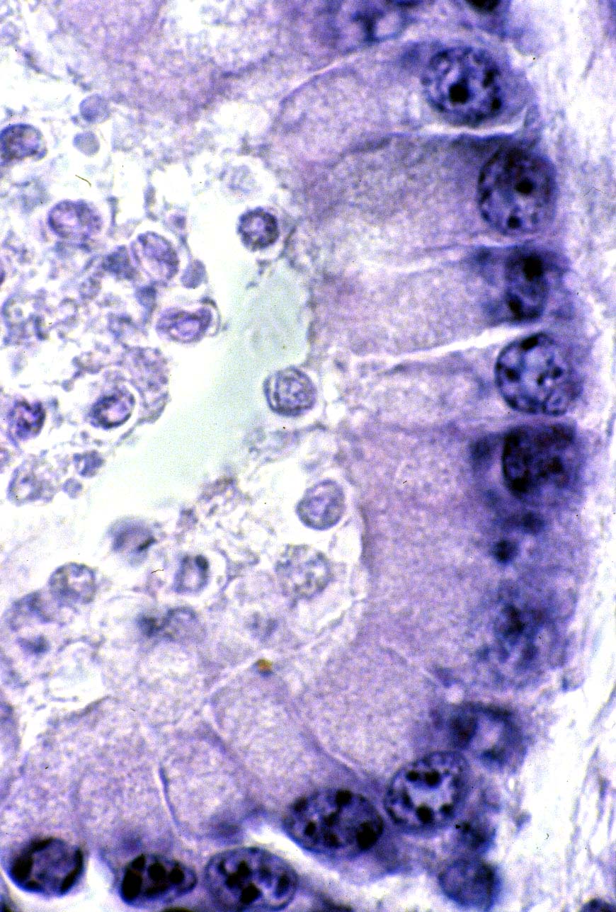
Histological section through stomach (gastric glands) of steer showing developmental stages |
Originals; photographs by S.J. Upton

Home | Search | What's
New | Help | Comments
Kansas State University | Biology Division